Sana'a University Journal of Medical and Health Sciences is a refereed scientific journal issued by Sana'a University. The journal aims to provide a platform for publishing research in accordance with approved international scientific standards, and to improve production and scientific research in the field of medical and health sciences. The journal is issued every two months in electronic version, and accepts papers and research studies written in both Arabic and English.

ISSN : 2958-7476

Honorary president:  

  • Prof. Mohammed Ahmed Al-Bukhaiti
  • President of Sana'a University

Editor in Chief:

  • Prof.Dr.Abdulsalam M. Al-Mekhlafi

Vol. 20 No. 1 (2026): Vol. 20 No. 1 (2026): Vol. 20 No. 1 (2026): Sana’a University Journal of Medicine and Health Sciences

Issue 1 (2026): Sana’a University Journal of Medicine and Health Sciences

Published: 2026-02-28

Nutrition Status at Diagnosis in Pediatric Acute Lymphoblastic Leukemia, Sana’a, Yemen

Lamia Mosleh, Najla Al-Sonboli, Abdullah Bin El-Zoa (Author)

428-433

Association between Temporomandibular Joint Condylar Morphology and Habitual Chewing Side.

Mohammed Al-Maqaleh, Al-Kasem Abbas, Taghreed Al-Kibsi, Abdulbaset Mufadhal (Author)

434-441

Prevalence of anemia and associated factors among pregnant women attending Bajil Regional Hospital and public health centers in Bajil City, Yemen

Mohammed Mukbel Ahmed Al-Qubati, Mohammed Abdulkader Al-Nuzaili, Hassan Abdulwahab Al-Shamahy (Author)

449-455

Khat Chewing and Lifestyle Risk Factors Associated with Helicobacter pylori Infection Among Adults with Dyspepsia in Sana’a, Yemen: A Cross-Sectional Study

Sadiq S. Abdul-Moghni, Butheina A. Alamrani, Arwa M. Othman, Naif M. Al-Haidary, Nawal Al-Henhena, Aref Abdul-Mughni, Gamil T. Abdul Mughni (Author)

464 - 468

Microleakage Evaluation of PMMA Provisional Crowns Made with CAD/CAM Technique

Mohammed Al-Maqaleh, Dr., Mohammed A. Albaili (Author)

480 - 484

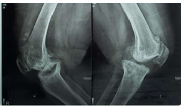
Autogenous structural bone graft reconstruction of uncontained significant medial proximal tibial bone defects in primary total knee arthroplasty

Anwar Abdulqader Mughalles, , Abdulrakib Saleh Almirah, Abdulkareem Esmail Alsabri, Marwan Mohammed Farhan, Ghamdan Gamal Alkholidy (Author)

489 - 496

View All Issues

Sana'a University Journal of Medicine and Health Sciences